0
Skip to Content
Home
About
Services
Gallery
Insurance
Contact
Book now
Open Menu
Close Menu
Home
About
Services
Gallery
Insurance
Contact
Book now
Open Menu
Close Menu
Home
About
Services
Gallery
Insurance
Contact
Book now
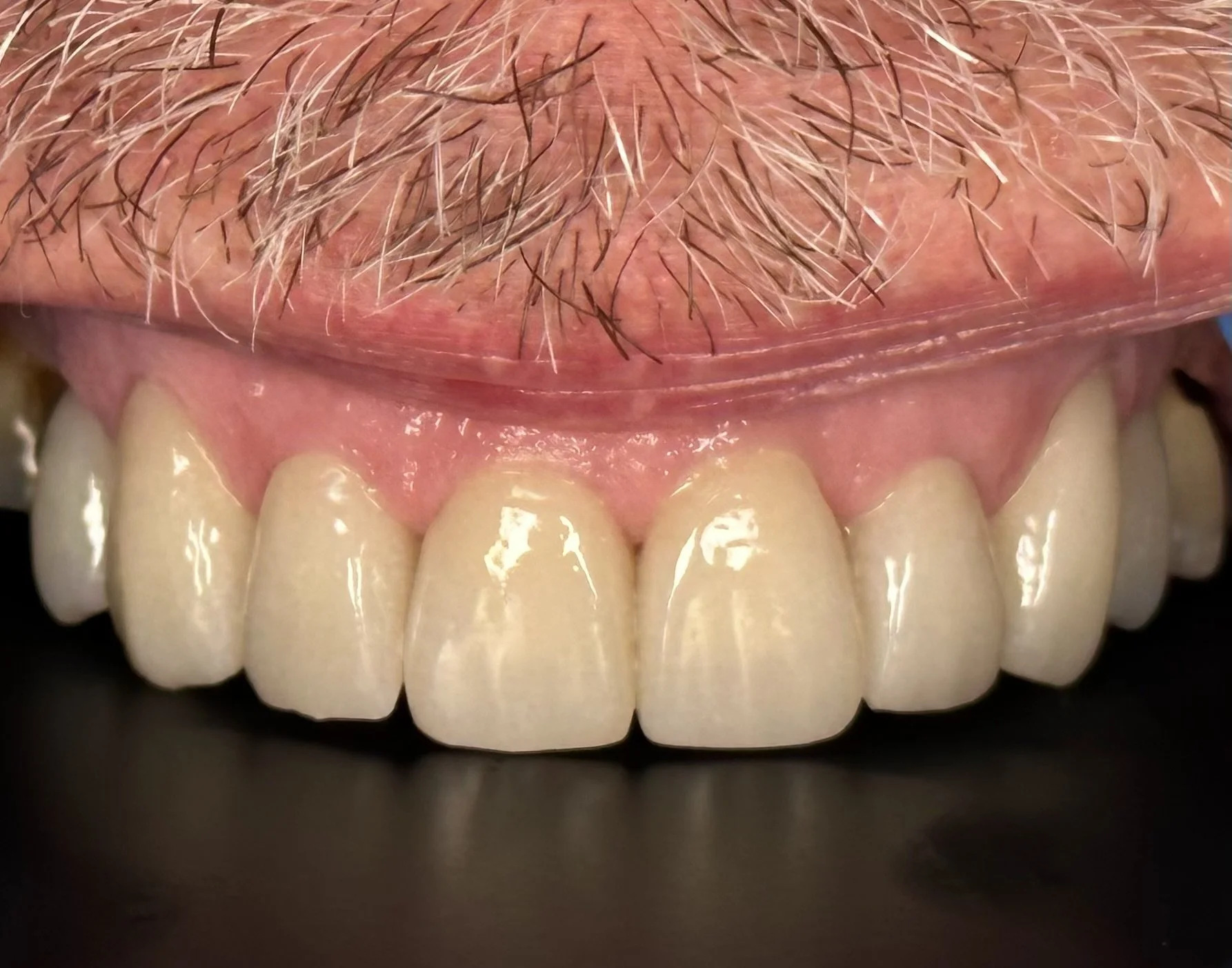
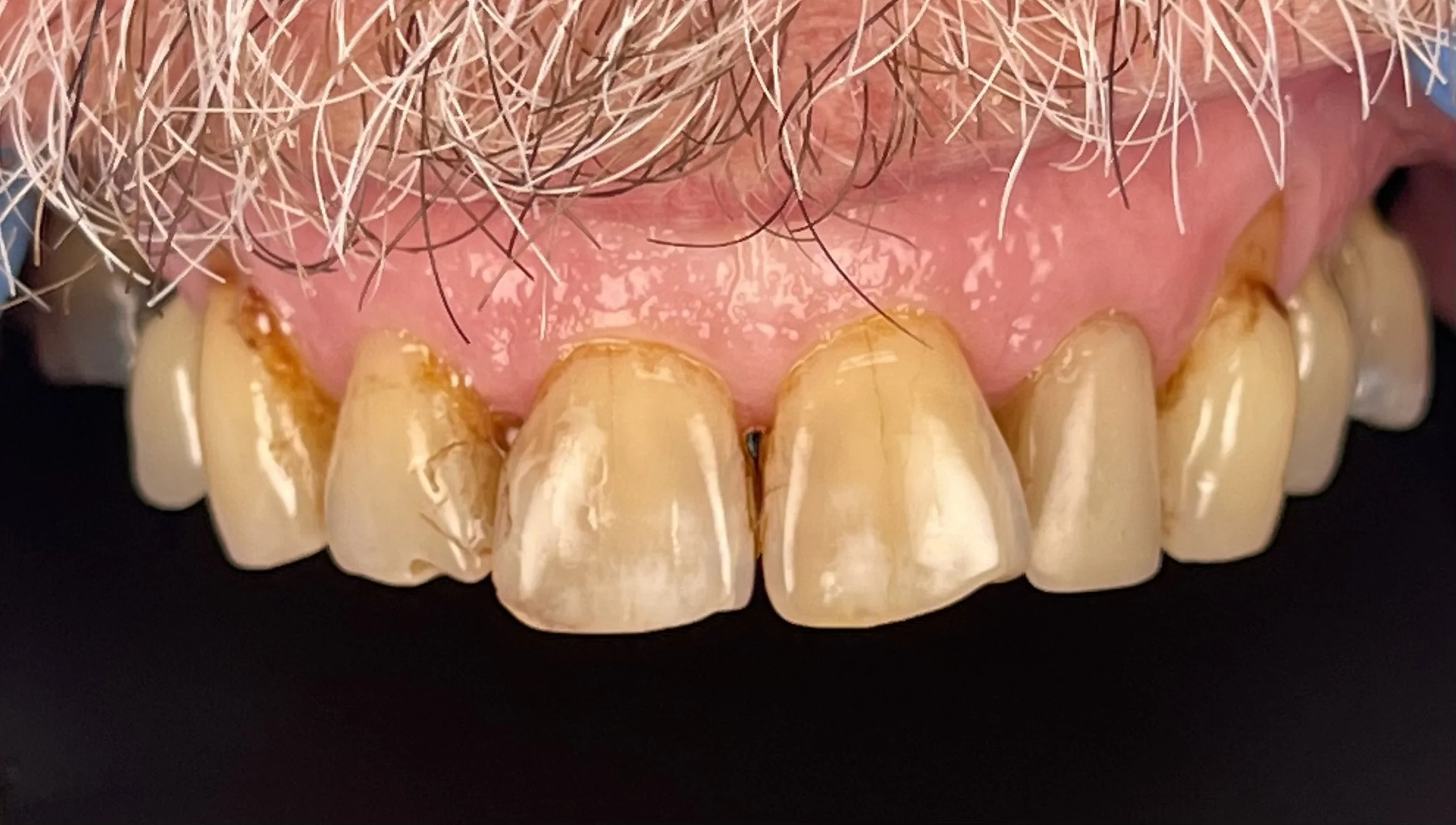
SMILE MAKEOVER
BEFORE & AFTER